ユーロフィンジェネティックラボ / ユーロフィンジェネティックラボ ID: J00725

免疫染色/IHC(染色・評価・解析) ID: J00725

ご興味のあるタンパク質に対して、抗原を特異的に認識する抗体を用いて免疫染色を実施ご提案致します。

サービスについて

概要

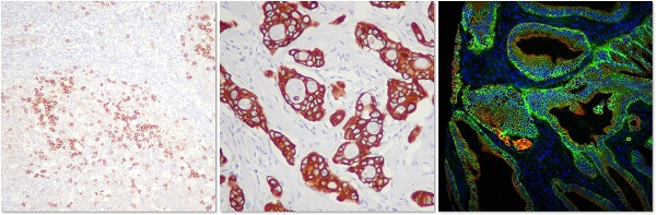
ご興味のあるタンパク質に対して、抗原を特異的に認識する抗体を用いて免疫染色を実施ご提案致します。DABやFastRedなどの発色色素または蛍光色素を用いて検出・可視化します。(fig.1)また、染色標本の画像撮影や病理医評価、画像解析も承っております。

特長

  • 抗体検索、検出条件設定のための検討試験から実施可能です
  • 発色・蛍光の検出系、単染色・多重染色など幅広く対応可能です
  • 病理医による評価や画像解析まで実施可能です

【このようなお客様にお勧めします】
  • ターゲットタンパク質の、組織・細胞レベルでの局在確認に
  • キット化されていない市販抗体、自家製抗体の染色プロトコルの確立に
  • 多重染色のご計画に

サービス基本仕様

  1. 未染標本作製
  2. HE染色
  3. 免疫染色条件検討
  4. 免疫染色
  5. 画像撮影(*)
* 画像取得システム

・発色:病理標本デジタル表示ソフトウェアAperio(ライカマイクロシステムズ)
・蛍光:デジタルイメージング解析装置Ariol (ライカマイクロシステムズ)
・共焦点定量イメージサイトメーターCQ1(横河電気)

画像取得および病理評価/画像解析はオプションサービスとなります。

画像解析ソフトウェア「HALO」を使用した画像解析1~5


受け入れサンプル

  • ホルマリン固定組織
  • FFPEブロック
  • OCT包埋凍結組織
  • 未染標本
* 上記基準に満たない場合、その他サンプル性状の場合はお問い合わせください
サンプル準備~ご発送手順ページもご覧ください

基本納品物

  • 試験報告書
  • 染色標本
  • 画像データ(データディスク)

ご注文に関して

以下のファイルをご利用の上、お問い合わせフォーム からご送付ください。

専用注文書類

参考価格・納期

サービス項目 価格(税抜) 納期
免疫染色/IHC(染色・評価・解析) お問い合わせ 抗体調達:10~20営業日程度
条件検討:20営業日程度
染色:20営業日程度

関連サイト