ニッポンジーン / 富士フイルム和光純薬 ID: J01947

ニッポンジーン CRISPR-Cas3ゲノム編集 ID: J01947

ゲノムの大規模欠損が可能

サービスについて

概要

CRISPR-Cas3技術は、東京大学医科学研究所 先進動物ゲノム研究分野の真下知士教授、大阪大学微生物病研究所の竹田潤二招へい教授らの研究成果を基に開発された日本発のゲノム編集技術です。

CRISPR-Cas3 技術は、オフターゲット変異が少なく安全性が高いことやターゲット遺伝子とその周辺を広く削ることができるといった特長を有しており、国内発の新しいゲノム編集技術として注目されています。
ニッポンジーンは、ゲノム編集技術に必要な研究用試薬を供給することにより、わが国のゲノム編集技術の発展に貢献して参ります。

CRISPR-Cas3システム

CRISPR-Cas3は、ガイドRNAにあたるcrRNAと5種類のタンパク質から構成されるCascade(カスケード)が複合体を形成し、標的DNA配列を認識して結合します。そこにCas3タンパク質が結合することでDNAを切断します。CRISPR-Cas3ではCas3タンパク質が標的配列の上流側を連続的に分解することで標的配列を大きく削ることができる性質を持ち、さらにcrRNAの相補配列が32塩基と長いため、従来のゲノム編集技術の課題であったオフターゲットへの影響も極めて低い特長があります。

【特長】
  • ゲノムの大規模欠損が可能
  • オフターゲット変異のリスクが低く、特異性が高い(安全性の高いゲノム編集技術)
  • シンプルなライセンスのため、ゲノム編集技術の実用化にむけた戦略が立て易い

図1. CRISPR-Cas3による二本鎖DNAの切断
5種類のタンパク質から構成されるCascadeとcrRNAの複合体に、Cas3が結合することでDNAを切断。

CRISPR-Cas3の特長(CRISPR-Cas9との比較)
CRISPR-Cas3 CRISPR/Cas9
分類 クラス1(*)(タイプI) クラス2(*)(タイプⅡ)
構成要素 Cas3 protein,crRNA,Cascade構成protein Cas9 protein,gRNA
PAM配列 AAG(AGG,GAG,TAC,ATG,TAG) NGG
相補配列の長さ 32塩基 約20塩基
オフターゲット変異 極めて低い 低い
大規模欠損
編集効率
切断機構 Cas3の持つヌクレアーゼドメインとヘリカーゼドメインにより一本鎖DNAの切断が繰り返され、結果的に二本鎖切断が導入される Cas9の持つ2つのヌクレアーゼドメイン(RuvCとHNH)による二本鎖同時切断
特長 ・crRNAの相補配列が長いため高い特異性を期待できる ・実験系の構築が非常に簡単
・数百~数千塩基の大規模欠失変異が可能 ・1~数塩基の挿入or欠失が可能

* クラス1:複数のタンパク質で標的配列を切断
* クラス2:単一のタンパク質で標的配列を切断

CRISPR-Cas3システムを用いたゲノム編集

【細胞でのゲノム編集評価(データ提供:C4U株式会社)】
β2-ミクログロブリンをコードするB2M遺伝子をターゲットとして実験を行った。エレクトロポレーション法でHEK293T細胞へCas3 protein NLS(Code No.311-09441)及びCascade-crRNA複合体を導入し、培養3日後にFlow CytometoryでB2M遺伝子のノックアウトをHLA-A抗体を使って確認した。また、B2M遺伝子がどの程度欠損が起きているか、クローニング及びシーケンス解析により確認した。

<実験方法>
  1. RNP(Cas3 ‒ Cascade-crRNA複合体) 各種を調製
  2. 細胞懸濁液を用意(0.3 x 106 cells/well)
  3. エレクトロポレーション(下記:実験条件)
  4. エレクトロポレーション後、3 日目にFlow CytometoryでB2M遺伝子の発現を測定
  5. KO率を計算(fig.1

<実験条件>
【エレクトロポレーター】 4D-Nucleofector® (Lonza社)
【Pulse Code】DG150
【細胞】HEK293T細胞, 0.3 x 106 cells/well
【RNP】100 pmol each/well (6 well plate)

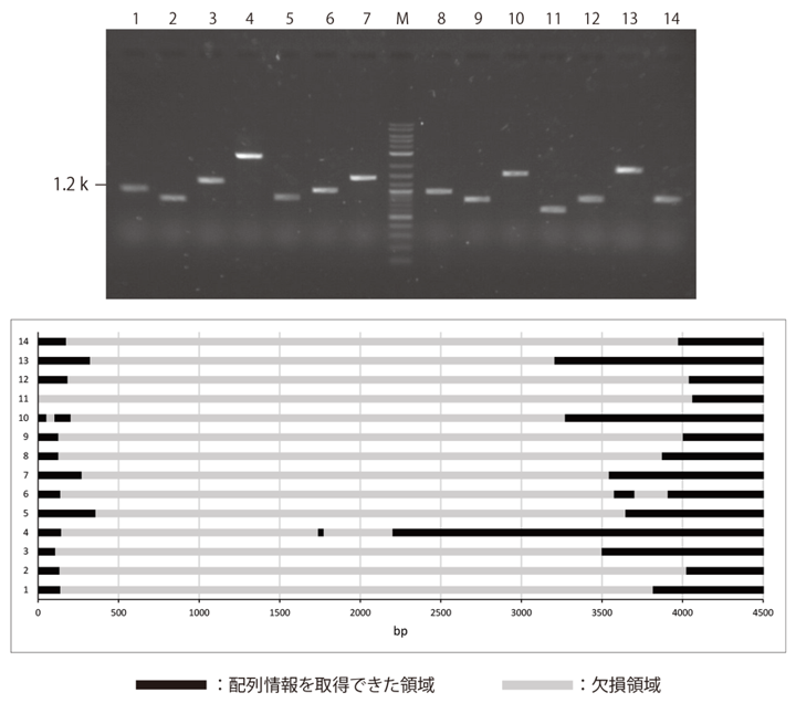
Flow CytometoryによるB2M遺伝子のノックアウト(KO)率(fig.1) Cas3 ‒ Cascade-crRNA複合体を導入した試験区では平均して18.1%の細胞にB2M遺伝子が発現していないことを確認した。(n=3)

シーケンス解析による欠損領域の確認(fig.2) B2M遺伝子がどの程度欠損が起きているか、クローニングおよびシーケンス解析により確認した。

Cascade-crRNA複合体作製サービス

本サービスはCRISPR-Cas3ゲノム編集用のcrRNA(クリスパーRNA)の設計およびcrRNAとCasタンパク質の複合体(Cas complex for antiviral defence, Cascade-crRNA複合体)を作製するサービスです。
Cascadeを構成する5種のタンパク質と1種のcrRNAを共発現し、精製したCascade-crRNA複合体を納品いたします。 また、Cascadeを構成するタンパク質(Cas11, Cas7, Cas6)は、核移行シグナル(NLS)を有しています。


本サービスで作製したCascade-crRNA複合体(ガイドRNA)と、別売の切断活性をもつCas3 protein NLSを組み合わせることで、日本発の新しいゲノム編集技術「CRISPR-Cas3システム」に利用することができます。

【サービスの概要】

crRNA配列設計とCascade-crRNA複合体作製
  • お客様から提供されたターゲット領域の配列情報をもとにC4U株式会社にてcrRNA配列を設計します。
  • 株式会社ニッポンジーンよりお客様へ1遺伝子につき3箇所のcrRNA候補配列を報告します。
  • お客様から指定された1種、2種または3種の配列に対して、Cascade-crRNA複合体を作製します。
  • 本サービスは、 納品するCascade-crRNA複合体についてゲノム編集実験の成功を保証するものではありません。
  • 配列情報提供書はこちらよりダウンロードできます。

H4Cascade-crRNA複合体
起源 遺伝子組換え大腸菌
濃度 25μg/μL Cascade-crRNA複合体
形状 20mM HEPES-NaOH (pH7.0), 350mM NaCl, 1 mM DTT

納品物 (1配列あたり1箱にまとめて納品)
構成品 容量 保存 備考
Cascade-crRNA複合体 10µL x 1本~出来高分 -80°C 250µg (10μL)ずつチューブに小分けし、 製造してできた分だけ出荷いたします。目安として、1配列あたり6~15本程度を見込んでおりますが、保証はいたしかねます。
基質プラスミド 1本 -80°C 本サービスで作製したCascade-crRNA複合体は、PAMおよび標的配列を含むPlasmidの切断実験で活性を確認します。このin vitro試験に使用したPlasmidを同梱します。
検査報告書(PDF) お客様のメールアドレス宛てに送付します。

* サービスの流れについては、メーカーHPをご確認ください。

Cas3関連製品

ご注文に関して

お問い合わせフォーム よりお問い合わせください。

製品カタログ・リーフレット

参考価格・納期

サービス項目 価格(税抜) 納期
ニッポンジーン CRISPR-Cas3ゲノム編集 お問い合わせ お問い合わせ

関連サイト